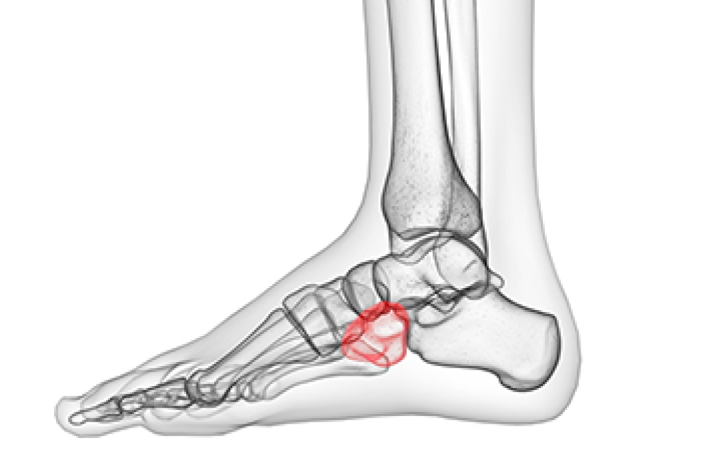
The cuboid bone is a tiny, cube-shaped (cuboidal) bone, which is one of the seven tarsal bones of the foot. It is located on the outside of the foot, roughly halfway between the pinky toe and the heel. The cuboid bone moves slightly during normal foot motion, however, forceful movements or certain positions that are maintained for prolonged periods of time can cause the cuboid bone to shift excessively and therefore it becomes dislocated. This is known as cuboid syndrome. Symptoms may include pain and possibly swelling on the lateral (outside) part of the foot which increases when walking or standing. It may even be difficult or impossible to walk. Podiatrists may use a “whip” procedure to quickly and firmly apply force to the cuboid bone to get it back into alignment as the patient relaxes in a prone position. If you believe you may be suffering from cuboid syndrome, contact a podiatrist.
Cuboid syndrome, also known as cuboid subluxation, occurs when the joints and ligaments near the cuboid bone in the foot become torn. If you have cuboid syndrome, consult with one of our podiatrists from Toms River Podiatrist . Our doctors will assess your condition and provide you with quality foot and ankle treatment.
Cuboid syndrome is a common cause of lateral foot pain, which is pain on the outside of the foot. The condition may happen suddenly due to an ankle sprain, or it may develop slowly overtime from repetitive tension through the bone and surrounding structures.
Causes
The most common causes of cuboid syndrome include:
- Injury – The most common cause of this ailment is an ankle sprain.
- Repetitive Strain – Tension placed through the peroneus longus muscle from repetitive activities such as jumping and running may cause excessive traction on the bone causing it to sublux.
- Altered Foot Biomechanics – Most people suffering from cuboid subluxation have flat feet.
Symptoms
A common symptom of cuboid syndrome is pain along the outside of the foot which can be felt in the ankle and toes. This pain may create walking difficulties and may cause those with the condition to walk with a limp.
Diagnosis
Diagnosis of cuboid syndrome is often difficult, and it is often misdiagnosed. X-rays, MRIs and CT scans often fail to properly show the cuboid subluxation. Although there isn’t a specific test used to diagnose cuboid syndrome, your podiatrist will usually check if pain is felt while pressing firmly on the cuboid bone of your foot.
Treatment
Just as the range of causes varies widely, so do treatments. Some more common treatments are ice therapy, rest, exercise, taping, and orthotics.
If you have any questions, please feel free to contact our office located in Toms River, NJ . We offer the newest diagnostic and treatment technologies for all your foot care needs.
